Rize’de şiddetli burun kanaması ve siyah renkte bir akıntı şikayetiyle ailesi tarafından götürüldüğü özel hastanede “enfeksiyon” denilerek ilaç reçete edilen 5 yaşındaki Polen Tekin’in burnunda tırnak makası zinciri olduğu ortaya çıktı. Devlet hastanesinde konulan teşhis sonrası ameliyatla küçük kızın burnundaki cisim çıkarıldı. Baba, “Kızım ölümden döndü. Bu işin peşini bırakmayacağım” dedi.

Rize’de yaşayan Gökhan-Nalan Tekin çifti, yaklaşık 4 ay önce şiddetli burun kanamasının yanı sıra akıntı şikayetleriyle kızları Polen’i, bir özel hastaneye götürdü. Burada röntgeni çekilip, tetkikleri tamamlanan küçük kıza, iddiaya göre enfeksiyon teşhisi konulup, ilaç verildi. Eve dönen aile, kanama ve akıntının geçmemesi üzerine bu kez Rize Devlet Hastanesi’ne giderek Kulak Burun Boğaz Polikliniği’ne başvurdu. 


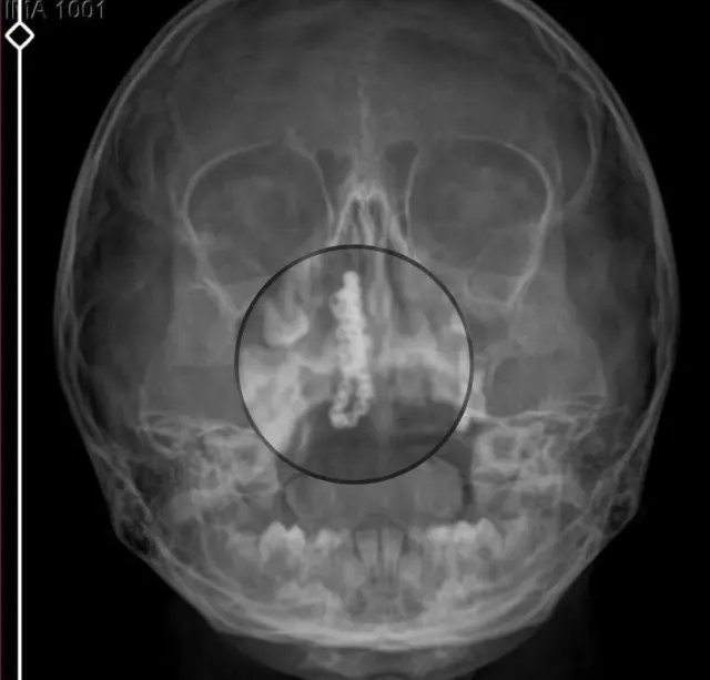
DEVLET HASTANESİNDE ORTAYA ÇIKTI
Devlet hastanesindeki doktorun incelemesi ve kapsamlı röntgen çekilmesi sonrası Polen’in burnunda metal cisim olduğu fark edildi. 2 yıldır burunda kaldığ
değerlendirilip, küçük top şeklinde tırnak makası zinciri olduău belirlenen cisim, başarılı ameliyatla çıkarıldı. Bir süre tedavisi sürdürülen Polen, sağlığına kavusunca taburcu edildi. Özel hastane yetkilileri, konuyla ilgili açıklama yapmazken; aile suç duyurusunda bulunacaklarını söyledi.


“KIZIM ÖLÜMDEN DÖNDÜ”
Kızının burnundan sürekli sivah renkte akıntı olduğunu anlatan Gökhan Tekin, Çocuğumun burnundan kanama ile sürekli siyah akıntı geliyordu. Özel hastaneye götürdüm. Özel hastanede film çekildi hiçbir bulguya rastlanılmadığı söylendi. sivah leke de enfeksiyona davalı olan bir şey olduğu bize söylendi. Eve geldik, akıntr sürmesi üzerine bu kez devlet hastanesine basvurduk. Burunda metal zinciri fark ettiler. Böyle bir ihmalkarlık olabilir mi? Özel hastaneye gidiyoruz, paramızla rezil oluyoruz. Zincir, 2 yıldır burnunda ve devletimizin hastanesinde iyi bir doktorumuz zinciri ortaya çıkarıyor, kızım ölümden dönüyor. Ben sonuna kadar bu işin peşini bırakmayacağım. Sonuna kadar hukuk mücadelesi vereceðim. Bu da diğer hastalarımıza ibret olsun. Iste, bakın koca bir zincir. ‘Bulguya rastlanılmadı’ deniliyor’
dedi.


“DOKTOR BİLE ‘NASIL GÖZDEN KACABİLİR?’ DİYE SASIRDI”
Kizının ameliyat sonrası durumunun iyi olduğunu söyleyen Tekin, “İnanır mısınız bize ‘Evde soba mı yanıyor? Acaba kömür isten dolayı mıdır bu?’ dendi. Böyle bir sey olabilir mi? Ameliyattan çıkan parmağım kadar zincir. Devlet hastanesindeki doktor da `’Bu nasıl gözden kaçılabilir? Böyle bir pozisyon nasıl görülmeyebilir?’ yorumunda bulundu. Allah’a sükür olsun atlattık. Su anda durumu, vaziyeti iyidir. Ben suna inanıyorum doktor da bir sans isidir. Bakın paramızla özele gideriz ya hani bizde, daha jyi ilgilenirler. Oysa devlet hastanesindeki doktorumuz olayı meydana çıkardı” diye konuştu.

Kaynak: https://www.sondakika.com/guncel/haber-kucuk-kizin-burnundan-zincir-cikarildi-19694801/

Görsel: https://www.sondakika.com/guncel/haber-kucuk-kizin-burnundan-zincir-cikarildi-19694801/

Haber Giriş Tarihi: 28.03.2026 16.11